Wir wissen sicherlich alle was Muskeln sind und für welchen Zweck sie für uns dienen. Doch wie ist ein Muskel eigentlich aufgebaut und wie genau funktioniert dieser?
In diesem Artikel erfährst du:
- … welche Muskelarten es gibt und wie sie aufgebaut sind.
- … wie ein Muskel funktioniert.
- … zwischen welchen Muskelfasertypen unterschieden wird.
Legen wir direkt los!
Die Muskulatur oder auch Muskelgewebe ist ein faszinierendes Netzwerk und ein Zusammenspiel mehrerer Muskeln, die nicht nur die Bewegung des Körpers und einzelner Körperteile ermöglichen, sondern auch gleichzeitig für die Atmung, Kreislauf, Wärme im Körper und den Herzschlages verantwortlich sind.
Bewegung entsteht, wenn die Muskeln sich anspannen (Kontraktion) und sich wieder entspannen (Relaxion). Doch die Muskeln arbeiten immer im Team, denn allein beim Sprechen müssen über 100 Muskeln beteiligt werden. Das nennt man Muskelkoordination.
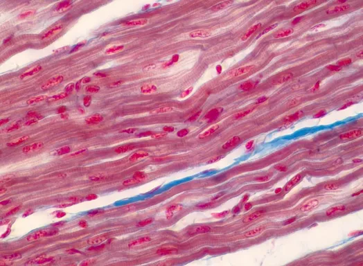
Jeder von uns besitzt mehr als 650 Muskeln im Körper, die aus Muskelzellen (Myozyten) bestehen. Doch die Muskelzellen sehen nicht alle gleich aus, denn es wird zwischen der quergestreiften und glatten Muskulatur unterschieden, wobei das quergestreifte Muskelgewebe in Skelett- und Herzmuskulatur unterteilt wird.
Muskelarten
Der Aufbau des Muskels variiert je nach Muskelart. Es wird zwischen diesen zwei Muskelarten unterschieden:
- quergestreifte Muskulatur
- glatte Muskulatur
Die quergestreifte Muskulatur wird hierbei noch in die Herz– und Skelettmuskulatur unterteilt.

Quergestreifte Muskulatur
Die quergestreiften Muskeln ermöglichen uns die Motorik und machen den wesentlichen Teil unseres Körpergewichtes aus. Das Muskelgewebe ist durch ihre feinen, charakteristischen Querstreifen unter dem Mikroskop erkennbar, weswegen sie auch so benannt wurde.
Bei dieser Muskulatur wird nochmal zwischen der Skelett- und Herzmuskulatur unterschieden.
Skelettmuskulatur
Die Skelettmuskulatur ist das einzige Muskelgewebe, welches du bewusst steuern kannst und bei der du die vollkommene Kontrolle über deinen Körper hast.
Außerdem ist die Skelettmuskulatur für die Bewegung, Balance, Haltung des Körpers und die Regulierung der Körpertemperatur zuständig und für das Blinzeln, Schlucken und Atmen verantwortlich.
Das entscheidende Merkmal dieser Muskulatur ist, dass die Muskeln über die Sehne mit den Knochen und somit mit dem Skelett verbunden sind.
Beispiel: Zu den Skelettmuskeln zählen unter anderem Arme, Beine, Bauch, Rücken, Schultern, aber auch Zunge und Gesichtsmuskeln.
Eigenschaften
- Skelettmuskeln haben einen langgestreckten und zylinderförmigen Aufbau und sind parallel angeordnet.
- Können mehrere Zentimeter lang sein (vom Muskel abhängig).
- Haben mehrere Zellkerne im Zellinneren.
- Die Muskelfasern enthalten viele Mitochondrien, da diese einen hohen Energieaufwand haben.

Aufbau

Der Muskel ist über die Sehne am Knochen befestigt und kann somit bewegt werden.
Der Muskel besteht aus vielen Muskelzellen (Muskelfaser), die in einem Bindegewebe (Faszie) zu einem Bündel umhüllt werden.
Dabei wird zwischen langsamen, schnellen und sehr schnellen Fasern unterschieden. Die hüllende Faszie ist durch Nerven und Blutgefäßen durchzogen, um die Muskelfasern zu stützen und zu schützen.
Wenn man sich einen Muskelfaser herausnimmt, besteht dieser wiederum aus mehreren kleineren Myofibrillen, die auch in einem Bündel verpackt sind. Sie sind kleine “Kraftwerke” der Muskelfaser und enthalten Mitochondrien.
Wenn man sich einen einzelnen Muskelfibrillen anschaut, besteht dieser aus Sarkomeren. Ein Sarkomer enthält Proteine wie Titin, Aktin und Myosin und ermöglicht durch die wechselseitige Verschiebung eine Muskelkontraktion (Bewegung).
Sarkomeren enthalten die Proteine Titin, Aktin und Myosin. Diese Filamente sind letztendlich der Auslöser für die Kontraktion.
Jedes einzelne Sarkomer hat an seinen Enden Z-Scheiben (Zwischen-Scheiben), um sich einander abzugrenzen. Die dünnen fadenförmigen Aktinfilamente hängen jeweils an beiden Seiten dieser Z-Scheiben. Zwischen den Aktinfilamenten befinden sich die dickeren Myosinfilamente, die an dem elastischen Titin befestigt sind und zu den Z-Scheiben verbinden.
Myosin gehört zu den Motorproteinen und wandelt die aufgenommene Nahrung in Energie und somit in Bewegung um. Aktin ist ein Strukturprotein und ist für die Stabilität und Elastizität des Muskels zuständig.
Herzmuskulatur
Im Gegensatz zu der Skelettmuskulatur ist die Herzmuskulatur weder an den Knochen befestigt, noch kann diese bewusst gesteuert werden.
Wie der Name schon verrät, befinden sich die Muskeln im Herzen. Das ganze Herz besteht aus Muskeln und wird Myokard genannt. Es muss ununterbrochen alleine in einem regelmäßigen Rhythmus schlagen.
Obwohl es auch eine quergestreifte Muskulatur ist, ist diese ganz anders aufgebaut.
Eigenschaften
- Muskelzellen sind nicht parallel aufgestellt, sondern zylinderförmig miteinander verzweigt.
- Verknüpfte und Verzweigte Herzmuskelzellen-Einheit (Synzytium).
- Muskelzellen haben meist nur einen bis zwei Zellkerne im Zellinneren.
- Enthalten mehr Mitochondrien als die Skelettmuskelzellen, die zur Energiegewinnung beitragen.

Aufbau

Die Herzmuskulatur besteht aus einem Bündel von mehreren Herzmuskelzellen, die auch zylinderförmig aussehen, aber von Ende zu Ende und Seite zu Seite miteinander verbunden sind.
Jede einzelne Zelle besitzt ihren eigenen Zellkern. Die Zellen sind durch kollagenes Bindegewebe voneinander getrennt. Die verbundenen Zellen nennt man Glanzstreifen.
Die Herzmuskelfasern werden von sogenannten interkalierenden Scheiben miteinander verknüpft. Diese Scheiben sorgen dafür, dass sich ein verkettetes Muster bildet und eine Zelleinheit, die sich Synzytium nennt, entsteht.
Das Synzytium leitet Reize von der einen Zelle zur nächsten weiter, wodurch eine synchrone Kontraktion des Herzens entsteht.
Das ist nur durch die Gap Junctions möglich, die einfach gesagt eine Verbindung von Zelle zu Zelle herstellen und die Kommunikation und Weiterleitung von Reizen ermöglichen.
Glatte Muskulatur
Genau wie bei der Herzmuskulatur ist die glatte Muskulatur ebenso nicht bewusst steuerbar.
Ihre Aufgabe besteht darin, die Organe wie Magen oder Lunge non-stop rhythmisch und unwillkürlich am Laufen zu halten.
Die glatte Muskulatur wird vom vegetativen Nervensystem gesteuert. Der Name kommt daher, da sie unter dem Mikroskop eine glatte Struktur hat.
Außerdem befindet sie sich an den Wänden der Hohlorgane wie dem Darm oder der Gebärmutter.
Eigenschaften
- Glatte und spindelförmige Struktur.
- Muskelzellen haben einen Zellkern pro Zelle.
- Kleinste Muskulatur.
- Die Zellen sind übereinander geordnet.

Aufbau

Die glatte Muskulatur besteht aus Myozyten (Muskelzellen), die keine Querstreifung haben. Im Gegensatz zu den Zellen der quergestreiften Muskulatur sind sie deutlich kleiner und nur zwischen 2-10 Mikrometern lang. Diese sind in einer dünnen Hülle (Basallamina) umwickelt, die aber an den Zell-Kontaktstellen ausbleibt.
Die Myozyten besitzen, genauso wie bei der Herzmuskulatur nur einen einzigen Zellkern im Zytoplasma. Außerdem sind auch die Gap Junctions enthalten, um Reize von Zelle zu Zelle schnell weiterleiten zu können.
In den Sarkomeren, die in den Myozyten enthalten sind, befinden sich genauso wie in der quergestreiften Muskulatur die Proteine Aktin und Myosin nur in einer deutlich höheren Konzentration.
Die Struktur der Filamente (Proteine) ist deutlich unregelmäßiger angeordnet, um sich bei Kontraktionen stärker zusammenziehen zu können, zum Beispiel bei Verdauung von Nahrung.
Muskelkontraktion – Schritt für Schritt
Die Kontraktion des Muskels ist und entsteht, wenn sich Muskelzellen aktiv anspannen oder zusammenziehen, sodass es zu einer Bewegung kommt. Das passiert nicht nur bei körperlicher Belastung wie Sport, sondern immer, wenn wir uns bewegen.
Dabei wandeln die Muskelzellen chemische Energie in mechanische Energie um.
Die Aktin– und Myosinfilamente sind letztendlich für das Zusammenziehen der Muskeln verantwortlich. Dabei gleiten sie aneinander vorbei, ohne ihre Länge zu verkürzen. Das nennt man Gleitfilamenttheorie.
Der gesamte Ablauf des Zusammenziehens des Muskels wird Querbrückenzyklus genannt, da die Myosinköpfe eine Querverbindung zwischen Myosin und Aktin herstellen.
Muskel ist entspannt
- Das Aktinfilament ist an den Bindungsstellen zu dem Myosinkopf von den Tropomyosinfäden verdeckt.
- An dem Myosinkopf, welcher 45° winklig ist, ist ATP gebunden.

Muskel wird aktiviert
- Das Calcium bindet sich an Troponin, welches sich an den Tropomyosinfäden befindet, was dazu führt, dass die Bindungsstellen von Aktin freigegeben werden und Myosin an Aktin binden kann.
- Die Calciumionen aktivieren die Enzymaktivität des Myosinkopfes (ATPase), welcher dann das an ihm gebundene ATP in ADP (Adenosindiphosphat) und Pi (Phosphatrest) spaltet. Dieser Vorgang wird dann Hydrolyse genannt. Die Spaltung führt dazu, dass sich der Myosinkopf anspannt.


Muskel in Bewegung
- Dadurch, dass Myosin an Aktin bindet, werden ADP und Pi vom Myosinkopf freigesetzt.
- Das Myosin wird 90° winklig und die Verspannung wird in mechanische Energie umgewandelt. Dieser Prozess wurde in einem Kraftschlag ausgeführt, wodurch die Aktinfilamente wieder zurück in die Sarkometermitte gezogen werden und eine Muskelkontraktion (Anspannung) erzeugt wird.
- Ein neues ATP setzt sich an den Myosinkopf an, wodurch sich die Bindung von Aktinfilament und Myosin löst und der Myosinkopf wieder 45° winklig wird. Außerdem löst sich das Calcium von Troponin, somit werden die Bindungsstellen vom Aktin wieder verdeckt. Damit endet der Zyklus.


Muskelfasertypen – im Überblick
Muskelfaser sind in der Skelettmuskulatur vorzufinden und sind daher bewusst steuerbar. Wie bereits erwähnt, ist ein Muskel aus einem Bündel von mehreren Muskelfasern aufgebaut. Insgesamt gibt es drei Muskelfasertypen, die eine bestimmte Rolle im Muskel spielen.
Schauen wir uns diese Muskelfasertypen genauer an:
Benennung | Merkmale | Beschreibung | Beispiele | |
Typ 1 | Rote Muskelfaser oder langsam zuckende Muskelfaser | geringe Kraft -viele Mitochondrien | Sie haben viele Mitochondrien, die als "Kraftwerk" der Zelle arbeiten, um Energie zu erzeugen. Sie sprechen langsam auf Reize an. |
|
Typ 2a | Intermediär-fasern oder schnell zuckende Muskelfaser | -mittlere Kraft | Fasern sind auch rot. Eine Mischung aus Typ 1 und Typ 2b. |
|
Typ 2b | weiße Muskelfaser sehr schnell zuckende Muskelfaser | -viel Kraft | Diese Faser sind für den Muskelaufbau am wichtigsten und kommen zum Beispiel in Brust, Rücken und Bizeps vor. |
|
Quiz – Teste dein Wissen!
Ergebnisse
#1. Wie arbeitet ein Muskel?
#2. Wie viele Muskeln besitzt ein menschlicher Körper?
#3. Welche Muskelart macht den wesentlichen Teil des Körpergewichtes aus?
#4. Die Skelettmuskulatur ist …
#5. Die Herzmuskelzellen sind …
#6. Die Glatte Muskulatur …
#7. Der gesamte Kontraktionsablauf nennt sich …
FAQ – die meistgestellten Fragen
Wie ist ein Muskel aufgebaut?
Unabhängig von der Muskelart, alle Muskeln haben denselben Aufbau:
- Ein Muskel besteht aus einem Bündel mehrerer Muskelfaser, die von der Faszie mit Blutgefäßen und Nerven umwickelt sind.
- Ein Muskelfaser besteht wiederum aus einem Bündel mehrerer Myofibrillen.
- Eine Myofibrille besteht aus einem Bündel von Sarkomeren.
- Ein Sarkomer enthält Proteine wie Titin, Aktin und Myosin, die für die Muskelkontraktion verantwortlich sind.
Wie ist eine Muskelzelle aufgebaut?
Eine Muskelzelle, auch Myozyt genannt, ist immer in einer Hülle eingewickelt und besteht aus mehreren Myofibrillen, die wiederum aus Sarkomeren bestehen. Sarkomeren enthalten die Proteine wie Aktin und Myosin, die für die Kontraktion verantwortlich sind.
Alle Zellen haben einen Zellmembran, welche eine dünne Hülle ist und die Zellen voneinander abgrenzt. Das Sarkoplasma (Zytoplasma) ist der flüssige Zellinhalt, worin sich auch der Zellkern befindet. Abhängig von der Muskelart können Muskelzellen mehrere oder aber auch nur einen Zellkern besitzen.
Jedoch werden Muskelzellen in drei Muskelarten unterteilt, die alle eine unterschiedliche Struktur und Zellanordnung haben.
Wie heißen die drei Arten von Muskeln?
Es wird zwischen zwei Muskelarten unterschieden:
- Quergestreifte Muskulatur
- Glatte Muskulatur
Die quergestreifte Muskulatur wird jedoch nochmal in die Skelettmuskulatur und die Herzmuskulatur unterteilt.
Wie funktioniert ein Muskel einfach erklärt?
Der Muskel enthält Proteine wie Aktin und Myosin. Diese Filamente (Proteine) sorgen durch die Gleitfilamenttheorie dafür, dass sich ein Muskel zusammenzieht und wieder entspannt. Dabei wird das ATP von der chemischen Energie in die mechanische Energie umgewandelt.
Was ist der stärkste Muskel im Körper?
Der Musculus Masseter (Kaumuskel) ist durch seine Hebelkraft der stärkste Muskel im menschlichen Körper.
Der Größte Muskel ist volumenmäßig der Musculus gluteus maximus (Gesäßmuskel) und flächenmäßig der Musculus latissimus dorsi (Rückenmuskel).






